x
伤感标签
伤感图片
伤感说说
伤感的句子说说心情
伤感图片
空间说说
心情说说
伤感图片带字
非主流伤感图片
爱情说说
女生伤感说说
人生感悟
唯美伤感图片
女生伤感图片
心情不好的说说
说说带图片
关于生活的说说
唯美意境图片
说说心情短语
悲伤的图片
唯美意境伤感图片
只有字的伤感图片
qq空间说说带图片
个性说说
说说图片
励志名言
伤心的图片
情感口述
一句话经典语录
美甲图片
图片大全
感悟人生的经典句子
短句吧
情感故事
情感图片
微信头像男
动态壁纸
抖音文案
动漫配图
伤感标签
首页
说说
动漫
口述
句子
图片
首页
>
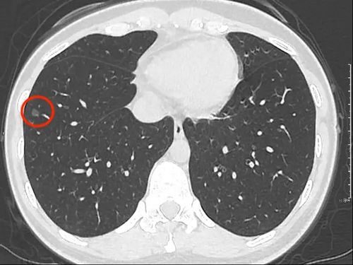
磨玻璃肺结节最可怕
磨玻璃肺结节最可怕,磨玻璃肺结节
刘医生建议:纯磨玻璃结节中的肺癌应该更名_肺癌_江苏
混合磨玻璃结节有明显的血管进入观察半年无消散要考虑手术
肺部磨玻璃结节9mm,要去开掉吗?
病例(14例)阐述肺部结节的ct诊断策略
肺磨玻璃结节
更多推荐
磨玻璃肺结节
磨玻璃结节6mm迟早手术
5mm磨玻璃结节
磨玻璃结节良性
肺磨玻璃结节
肺多发磨玻璃结节
肺部纯磨玻璃结节
双肺磨玻璃结节
肺磨玻璃结节灶
右肺上叶磨玻璃结节
磨玻璃结节与肺癌区别
女性肺磨玻璃结节6mm
磨玻璃结节恶性
磨玻璃结节
纯磨玻璃结节
磨玻璃结节很好治愈
玻璃结节
磨玻璃结节形态
磨玻璃结节标本
混合磨玻璃结节
磨玻璃结节图片
7mm磨玻璃结节
肺部磨玻璃样
肺磨玻璃
5mm磨玻璃结节良性几率
肺磨玻璃影
肺部结节
肺部实性结节
结节
正常肺和肺癌图片
说说分类
伤感说说
空间说说
心情说说
爱情说说
女生伤感
人生感悟
心情不好
说说带图片
生活的说说
心情短语
qq空间说说
个性说说
励志名言
经典语录
感悟人生
伤感句子
短句吧
情感故事
图片分类
伤感图片
伤感带字
非主流伤感
唯美伤感
女生伤感
唯美意境
悲伤的图片
意境伤感
只有字伤感
说说图片
伤心的图片
美甲图片
图片大全