x
伤感标签
伤感图片
伤感说说
伤感的句子说说心情
伤感图片
空间说说
心情说说
伤感图片带字
非主流伤感图片
爱情说说
女生伤感说说
人生感悟
唯美伤感图片
女生伤感图片
心情不好的说说
说说带图片
关于生活的说说
唯美意境图片
说说心情短语
悲伤的图片
唯美意境伤感图片
只有字的伤感图片
qq空间说说带图片
个性说说
说说图片
励志名言
伤心的图片
情感口述
一句话经典语录
美甲图片
图片大全
感悟人生的经典句子
短句吧
情感故事
情感图片
微信头像男
动态壁纸
抖音文案
动漫配图
伤感标签
首页
说说
动漫
口述
句子
图片
首页
>
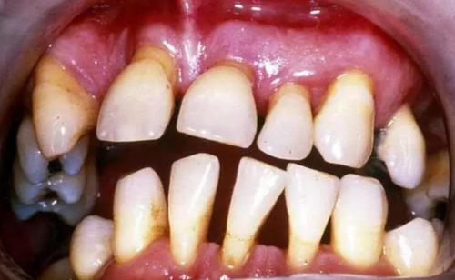
儿童蛀牙 早期 可怕
儿童蛀牙 早期 可怕,儿童蛀牙早期
德仁口腔专家说:儿童蛀牙危害可不小,预防儿童龋齿有妙招
好可怕,谁希望自己孩子有这样一口牙!
蛀牙引起口臭,该怎么办?
比智齿,龋齿还可怕的,是牙龈萎缩!
早期蛀牙只需要填牙就可以了,到了中后期的蛀牙就需要根管治疗或者拔
更多推荐
儿童蛀牙早期
儿童蛀牙可怕
儿童蛀牙图片可怕
儿童蛀牙牙痛
儿童蛀牙图片大全烂牙
儿童蛀牙补牙
儿童蛀牙图片牙痛
儿童蛀牙
儿童蛀牙治疗
儿童蛀牙对比
儿童蛀牙危害
蛀牙图片儿童严重
儿童蛀牙图片
儿童蛀牙怎么办
儿童蛀牙虫子
儿童蛀牙卡通
蛀牙早期图片
儿童蛀牙图片虫子
宝宝蛀牙早期症状图片
儿童牙齿龋齿严重图
儿童门牙龋齿
儿童蛀牙图片大全黑点
儿童龋齿初期图片
儿童虫牙图片轻度
儿童蛀牙卡通图片
儿童严重烂牙图
儿童牙菌斑图片
儿童牙齿坏掉的图片
儿童换牙位置顺序图
严重龋齿图片儿童
说说分类
伤感说说
空间说说
心情说说
爱情说说
女生伤感
人生感悟
心情不好
说说带图片
生活的说说
心情短语
qq空间说说
个性说说
励志名言
经典语录
感悟人生
伤感句子
短句吧
情感故事
图片分类
伤感图片
伤感带字
非主流伤感
唯美伤感
女生伤感
唯美意境
悲伤的图片
意境伤感
只有字伤感
说说图片
伤心的图片
美甲图片
图片大全