x
伤感标签
伤感图片
伤感说说
伤感的句子说说心情
伤感图片
空间说说
心情说说
伤感图片带字
非主流伤感图片
爱情说说
女生伤感说说
人生感悟
唯美伤感图片
女生伤感图片
心情不好的说说
说说带图片
关于生活的说说
唯美意境图片
说说心情短语
悲伤的图片
唯美意境伤感图片
只有字的伤感图片
qq空间说说带图片
个性说说
说说图片
励志名言
伤心的图片
情感口述
一句话经典语录
美甲图片
图片大全
感悟人生的经典句子
短句吧
情感故事
情感图片
微信头像男
动态壁纸
抖音文案
动漫配图
伤感标签
首页
说说
动漫
口述
句子
图片
首页
>
大脑镰出血
大脑镰出血,大脑镰解剖学位置
大脑镰旁硬膜下出血ct和mri对比研究
颅脑断层解剖 侧脑 层 大脑镰 侧脑室 透明隔 大脑内静脉 脉络丛 枕叶
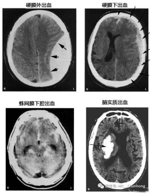
血肿范围较广,多呈新月形,可跨颅缝分布,但不跨硬膜返折如大脑镰和
【ppt】易误诊为出血的大脑镰钙化
硬脑膜内层形成大脑镰,因此硬膜下血肿不穿过中线,但可穿过颅缝,这与
更多推荐
大脑镰解剖学位置
大脑镰硬膜下血肿
大脑镰小脑幕
大脑镰和小脑镰
大脑镰和大脑纵裂
大脑镰
顶部大脑镰
大脑镰囊肿
大脑镰ct
大脑镰位置
大脑镰旁脑膜瘤
大脑镰解剖
大脑镰下疝
大脑镰图片
大脑镰脂肪瘤
大脑镰钙化灶
小脑镰
大脑镰解剖图
大便出血
大脑镰旁硬膜下血肿
大脑镰小脑幕位置图片
大脑镰位置图片
大脑镰旁脂肪瘤
大脑
出血
手出血
手出血真实
大脑斧
大脑动脉环
大脑中动脉
说说分类
伤感说说
空间说说
心情说说
爱情说说
女生伤感
人生感悟
心情不好
说说带图片
生活的说说
心情短语
qq空间说说
个性说说
励志名言
经典语录
感悟人生
伤感句子
短句吧
情感故事
图片分类
伤感图片
伤感带字
非主流伤感
唯美伤感
女生伤感
唯美意境
悲伤的图片
意境伤感
只有字伤感
说说图片
伤心的图片
美甲图片
图片大全