x
伤感标签
伤感图片
伤感说说
伤感的句子说说心情
伤感图片
空间说说
心情说说
伤感图片带字
非主流伤感图片
爱情说说
女生伤感说说
人生感悟
唯美伤感图片
女生伤感图片
心情不好的说说
说说带图片
关于生活的说说
唯美意境图片
说说心情短语
悲伤的图片
唯美意境伤感图片
只有字的伤感图片
qq空间说说带图片
个性说说
说说图片
励志名言
伤心的图片
情感口述
一句话经典语录
美甲图片
图片大全
感悟人生的经典句子
短句吧
情感故事
情感图片
微信头像男
动态壁纸
抖音文案
动漫配图
伤感标签
首页
说说
动漫
口述
句子
图片
首页
>
正常睾丸参照物
正常睾丸参照物,男性睾丸正常
(图) 睾丸图片(共1张)
成年男性的睾丸正常尺寸,和拇指与食指圈成的圆圈差不多大.
右侧正常睾丸
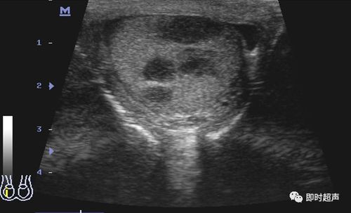
阴囊及其内容物的超声诊断_睾丸
鸭子睾丸比鸭蛋还大 专家称可能是发生变异(图)
更多推荐
男性睾丸正常
正常睾丸高清图男宝宝
成年男人睾丸正常
睾丸萎缩图片
阴囊切除
正常的阴囊外观男性
正常睾丸大小
爆炒男性睾丸
阴囊正常样子图片30cm
正常的睾丸真实
正常阴囊收缩图片
正常睾丸
取出睾丸
睾丸上戴个圈是什么
成年男性阴囊
睾丸多大算正常图片
睾丸样子
我割了自己的睾丸
睾丸切除术手术图片
睾丸上长了好多白毛
正常睾丸实物对比
男婴正常睾丸
睾丸切开是什么样子
28岁睾丸像鹌鹑蛋
摘取男性睾丸
正常睾丸样子
正常睾丸外观
睾丸大小实物参照
正常睾丸大小参照图
睾丸多大实物参照
说说分类
伤感说说
空间说说
心情说说
爱情说说
女生伤感
人生感悟
心情不好
说说带图片
生活的说说
心情短语
qq空间说说
个性说说
励志名言
经典语录
感悟人生
伤感句子
短句吧
情感故事
图片分类
伤感图片
伤感带字
非主流伤感
唯美伤感
女生伤感
唯美意境
悲伤的图片
意境伤感
只有字伤感
说说图片
伤心的图片
美甲图片
图片大全