x
伤感标签
伤感图片
伤感说说
伤感的句子说说心情
伤感图片
空间说说
心情说说
伤感图片带字
非主流伤感图片
爱情说说
女生伤感说说
人生感悟
唯美伤感图片
女生伤感图片
心情不好的说说
说说带图片
关于生活的说说
唯美意境图片
说说心情短语
悲伤的图片
唯美意境伤感图片
只有字的伤感图片
qq空间说说带图片
个性说说
说说图片
励志名言
伤心的图片
情感口述
一句话经典语录
美甲图片
图片大全
感悟人生的经典句子
短句吧
情感故事
情感图片
微信头像男
动态壁纸
抖音文案
动漫配图
伤感标签
首页
说说
动漫
口述
句子
图片
首页
>
液平面x线图片
液平面x线图片,气液平面x线图片
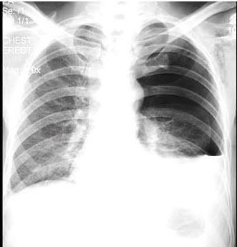
左下肺野可见液-气平面,约与第5前肋相平(蓝色虚线),肺门影不浓.
回肠末段积气,轻度扩张,并可见多个短小气液平面.
x线影像的基本认识ppt课件
x线读片精选(腹部)课件
男,32岁,2天前被人踢伤胸部,感胸闷,呼吸困难,x线检查如图,最可能的
更多推荐
气液平面x线图片
腹部液平面x线图片
腹部气液平面x线图片
肺部气液平面x线图片
气液平面ct图片
液气胸的x线图片
气液平面x线
x线图片
气液平面图片
正常足x线图片
肠梗阻液平面图片
肠梗阻x线气液平面图
气胸x线胸片图解
肺气肿x线图片
胸腔积液x线胸片图解
肠梗阻x线图片
踝关节x线图片
肺结核x线图片
肩关节x线图片
液平面
腹部平片液气平示意图
支气管炎x线图片
鼻骨侧位x线图片
骨肉瘤x线图片
肠梗阻气液平面图片
腺样体肥大x线图片
dr各部位x线摆位图片
肠梗阻x线图片影像学
正常膝关节x线图片
腕关节侧位x线图片
说说分类
伤感说说
空间说说
心情说说
爱情说说
女生伤感
人生感悟
心情不好
说说带图片
生活的说说
心情短语
qq空间说说
个性说说
励志名言
经典语录
感悟人生
伤感句子
短句吧
情感故事
图片分类
伤感图片
伤感带字
非主流伤感
唯美伤感
女生伤感
唯美意境
悲伤的图片
意境伤感
只有字伤感
说说图片
伤心的图片
美甲图片
图片大全