x
伤感标签
伤感图片
伤感说说
伤感的句子说说心情
伤感图片
空间说说
心情说说
伤感图片带字
非主流伤感图片
爱情说说
女生伤感说说
人生感悟
唯美伤感图片
女生伤感图片
心情不好的说说
说说带图片
关于生活的说说
唯美意境图片
说说心情短语
悲伤的图片
唯美意境伤感图片
只有字的伤感图片
qq空间说说带图片
个性说说
说说图片
励志名言
伤心的图片
情感口述
一句话经典语录
美甲图片
图片大全
感悟人生的经典句子
短句吧
情感故事
情感图片
微信头像男
动态壁纸
抖音文案
动漫配图
伤感标签
首页
说说
动漫
口述
句子
图片
首页
>
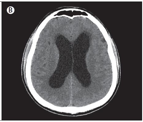
脑水肿CT
脑水肿CT,脑梗死ct
入院第5天患者出现急性定向力障碍和颈部僵硬症状,但无视神经乳头水肿
头颅ct显示去骨瓣减压之后继续nivolumab治疗,发展成严重脑水肿和
患者出院前ct复香,脑水肿基本消退,神志请,能言语,经口进食,院外康复.
图6.头颅ct提示脑水肿及中线移位较前减轻
患者出院前ct复香,脑水肿基本消退,神志请,能言语,经口进食,院外康复.
更多推荐
脑梗死ct
脑水肿ct影像学图片
CT上如何显示脑水肿
脑出血ct
脑积水ct
脑水肿ct图
脑水肿CT
脑水肿ct表现
脑水肿ct报告
脑水肿
脑水肿ct图片
脑水肿恶性
脑水肿症状
脑水肿病人
脑水肿图片
脑水肿婴儿
脑水肿头颅ct图片
脑水肿ct图片解说图
脑水肿图片恶性
脑水肿患者图片
新生儿脑水肿图片
说说分类
伤感说说
空间说说
心情说说
爱情说说
女生伤感
人生感悟
心情不好
说说带图片
生活的说说
心情短语
qq空间说说
个性说说
励志名言
经典语录
感悟人生
伤感句子
短句吧
情感故事
图片分类
伤感图片
伤感带字
非主流伤感
唯美伤感
女生伤感
唯美意境
悲伤的图片
意境伤感
只有字伤感
说说图片
伤心的图片
美甲图片
图片大全