x
伤感标签
伤感图片
伤感说说
伤感的句子说说心情
伤感图片
空间说说
心情说说
伤感图片带字
非主流伤感图片
爱情说说
女生伤感说说
人生感悟
唯美伤感图片
女生伤感图片
心情不好的说说
说说带图片
关于生活的说说
唯美意境图片
说说心情短语
悲伤的图片
唯美意境伤感图片
只有字的伤感图片
qq空间说说带图片
个性说说
说说图片
励志名言
伤心的图片
情感口述
一句话经典语录
美甲图片
图片大全
感悟人生的经典句子
短句吧
情感故事
情感图片
微信头像男
动态壁纸
抖音文案
动漫配图
伤感标签
首页
说说
动漫
口述
句子
图片
首页
>
舌骨囊肿图片
舌骨囊肿图片,甲状舌骨囊肿手术费用
甲状舌骨囊肿_日历_医疗健康_医疗健康其他
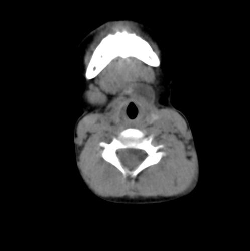
核心提示:甲状舌骨囊肿ct病例(影像图)
核心提示:甲状舌骨囊肿ct病例(影像图)
甲状舌骨囊肿住院总结
甲舌囊肿
更多推荐
甲状舌骨囊肿手术费用
舌骨囊肿位置图
甲状腺舌骨囊肿图片
舌甲囊肿图片
舌骨囊肿位置图片
甲状软骨图片
儿童舌骨囊肿手术过程
舌骨在哪个位置图解
舌骨疼
舌根囊肿图片大全
舌根部右侧囊肿图片
舌骨囊肿图片脖子图片
舌骨大角
甲状舌骨
舌骨囊肿几岁切除较好
舌骨囊肿术后疤痕图片
甲状舌骨囊肿术后照片
甲状舌管囊肿图片
甲状舌骨囊肿位置图片
舌骨图片
甲舌囊肿的部位和图片
甲状舌骨囊肿手术后图
喉结与舌骨具体位置图
甲状舌管囊肿术后图片
舌骨囊肿手术图片
舌骨囊肿超声表现图片
舌骨位置图片
舌骨突出
舌骨体
小孩甲状舌骨囊肿图片
说说分类
伤感说说
空间说说
心情说说
爱情说说
女生伤感
人生感悟
心情不好
说说带图片
生活的说说
心情短语
qq空间说说
个性说说
励志名言
经典语录
感悟人生
伤感句子
短句吧
情感故事
图片分类
伤感图片
伤感带字
非主流伤感
唯美伤感
女生伤感
唯美意境
悲伤的图片
意境伤感
只有字伤感
说说图片
伤心的图片
美甲图片
图片大全