x
伤感标签
伤感图片
伤感说说
伤感的句子说说心情
伤感图片
空间说说
心情说说
伤感图片带字
非主流伤感图片
爱情说说
女生伤感说说
人生感悟
唯美伤感图片
女生伤感图片
心情不好的说说
说说带图片
关于生活的说说
唯美意境图片
说说心情短语
悲伤的图片
唯美意境伤感图片
只有字的伤感图片
qq空间说说带图片
个性说说
说说图片
励志名言
伤心的图片
情感口述
一句话经典语录
美甲图片
图片大全
感悟人生的经典句子
短句吧
情感故事
情感图片
微信头像男
动态壁纸
抖音文案
动漫配图
伤感标签
首页
说说
动漫
口述
句子
图片
首页
>
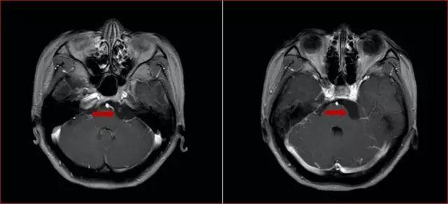
颅内胆脂瘤图片
颅内胆脂瘤图片,耳朵里长胆脂瘤的图片
警惕颅内胆脂瘤入侵 出现这些症状需谨慎!
表皮样囊肿(胼胝体)
颅内巨大胆脂瘤的双镜联合手术治疗
四脑室肿瘤--the neurosurgical atlas 系列
颅内胆脂瘤
更多推荐
耳朵里长胆脂瘤的图片
中耳炎胆脂瘤取出图片
胆脂瘤图片
外耳道胆脂瘤图片
中耳胆脂瘤手术图片
中耳炎开刀手术图片
胆脂瘤型中耳炎图片
颅内胆脂瘤
中耳胆脂瘤图片
耳朵胆脂瘤图片
胆脂瘤什么样子图片
颅内感染图片
胆脂瘤
胆脂瘤手术
胆脂瘤ct
胆脂瘤症状
中耳胆脂瘤手术
中耳胆脂瘤手术切口图
中耳胆脂瘤CT
中耳胆脂瘤
胆脂瘤处理原则
耳朵胆脂瘤
中耳炎胆脂瘤
胆脂瘤型中耳炎
外耳道胆脂瘤
中耳胆脂瘤乳突炎
颅内
颅内血管解剖图
颅内出血
颅内感染
说说分类
伤感说说
空间说说
心情说说
爱情说说
女生伤感
人生感悟
心情不好
说说带图片
生活的说说
心情短语
qq空间说说
个性说说
励志名言
经典语录
感悟人生
伤感句子
短句吧
情感故事
图片分类
伤感图片
伤感带字
非主流伤感
唯美伤感
女生伤感
唯美意境
悲伤的图片
意境伤感
只有字伤感
说说图片
伤心的图片
美甲图片
图片大全