x
伤感标签
伤感图片
伤感说说
伤感的句子说说心情
伤感图片
空间说说
心情说说
伤感图片带字
非主流伤感图片
爱情说说
女生伤感说说
人生感悟
唯美伤感图片
女生伤感图片
心情不好的说说
说说带图片
关于生活的说说
唯美意境图片
说说心情短语
悲伤的图片
唯美意境伤感图片
只有字的伤感图片
qq空间说说带图片
个性说说
说说图片
励志名言
伤心的图片
情感口述
一句话经典语录
美甲图片
图片大全
感悟人生的经典句子
短句吧
情感故事
情感图片
微信头像男
动态壁纸
抖音文案
动漫配图
伤感标签
首页
说说
动漫
口述
句子
图片
首页
>
智齿每个人都有吗
智齿每个人都有吗,每个人都有智齿吗
拔智齿有多痛?
智齿长歪了一定要拔掉吗?
之所以有人说自己智齿拔除之后确实瘦了,可能是因为拔牙术后疼痛和
人为什么会长智齿?智齿到底要不要拔?
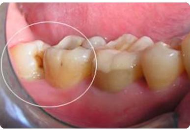
智齿拔除 立即咨询 ■图片展示 虽然智齿贡献的咀嚼能力对于现代人
更多推荐
每个人都有智齿吗
每个人都会长智齿吗
拔智齿疼吗
智齿
长智齿
阻生智齿
拔智齿
智齿盲袋
智齿长在哪里
智齿位置
阻生智齿图片
智齿是什么样子的
智齿拍片
智齿图片
智齿的位置图片
智齿发炎
正常的智齿图片
不需要拔的智齿图片
智齿可爱
智齿搞笑
智齿位置图
拔智齿后的白色假膜图
智齿x光片
智齿包在肉里面图片
每个国家的国旗图片
每个国家国旗
说说分类
伤感说说
空间说说
心情说说
爱情说说
女生伤感
人生感悟
心情不好
说说带图片
生活的说说
心情短语
qq空间说说
个性说说
励志名言
经典语录
感悟人生
伤感句子
短句吧
情感故事
图片分类
伤感图片
伤感带字
非主流伤感
唯美伤感
女生伤感
唯美意境
悲伤的图片
意境伤感
只有字伤感
说说图片
伤心的图片
美甲图片
图片大全