x
伤感标签
伤感图片
伤感说说
伤感的句子说说心情
伤感图片
空间说说
心情说说
伤感图片带字
非主流伤感图片
爱情说说
女生伤感说说
人生感悟
唯美伤感图片
女生伤感图片
心情不好的说说
说说带图片
关于生活的说说
唯美意境图片
说说心情短语
悲伤的图片
唯美意境伤感图片
只有字的伤感图片
qq空间说说带图片
个性说说
说说图片
励志名言
伤心的图片
情感口述
一句话经典语录
美甲图片
图片大全
感悟人生的经典句子
短句吧
情感故事
情感图片
微信头像男
动态壁纸
抖音文案
动漫配图
伤感标签
首页
说说
动漫
口述
句子
图片
首页
>
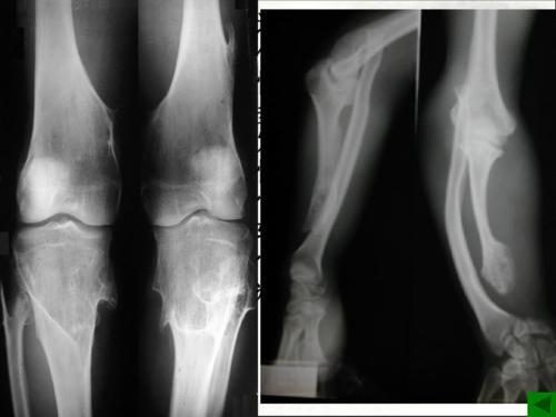
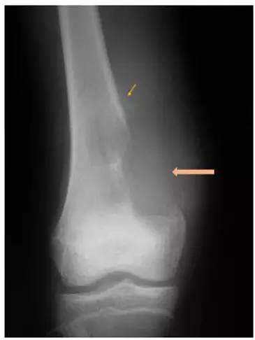
儿童骨肉瘤图片
儿童骨肉瘤图片,儿童骨肉瘤好发部位
宁夏七岁女孩患骨肉瘤面临截肢 都市阳光帮忙筹手术费
5分钟学会骨肉瘤的诊断要点
骨肉瘤
近20%的健康儿童可能存在良性骨肿瘤
他是天台的"小环卫",13岁患上了骨肉瘤
更多推荐
儿童骨肉瘤好发部位
骨肉瘤病人图片
骨肉瘤症状
骨肉瘤1期图片
骨肉瘤外观
骨肉瘤初期图片
骨肉瘤图片
骨肉瘤图片外观
骨肉瘤图片症状
骨肉瘤外表图片
骨肉瘤图片恶性
儿童图片卡通图片
骨肉瘤切片
骨肉瘤恶性肿瘤
上颌骨骨肉瘤
骨肉瘤早期皮肤照片
骨肉瘤
儿童图片
儿童腮腺炎图片
儿童鸡胸图片
骨肉瘤死的样子
儿童图片风景
骨肉瘤部位
骨肉瘤x线
骨肉瘤恶性
儿童图片可爱
骨肉瘤影像学
儿童图片真人
儿童蛀牙图片
骨肉瘤病理
说说分类
伤感说说
空间说说
心情说说
爱情说说
女生伤感
人生感悟
心情不好
说说带图片
生活的说说
心情短语
qq空间说说
个性说说
励志名言
经典语录
感悟人生
伤感句子
短句吧
情感故事
图片分类
伤感图片
伤感带字
非主流伤感
唯美伤感
女生伤感
唯美意境
悲伤的图片
意境伤感
只有字伤感
说说图片
伤心的图片
美甲图片
图片大全