x
伤感标签
伤感图片
伤感说说
伤感的句子说说心情
伤感图片
空间说说
心情说说
伤感图片带字
非主流伤感图片
爱情说说
女生伤感说说
人生感悟
唯美伤感图片
女生伤感图片
心情不好的说说
说说带图片
关于生活的说说
唯美意境图片
说说心情短语
悲伤的图片
唯美意境伤感图片
只有字的伤感图片
qq空间说说带图片
个性说说
说说图片
励志名言
伤心的图片
情感口述
一句话经典语录
美甲图片
图片大全
感悟人生的经典句子
短句吧
情感故事
情感图片
微信头像男
动态壁纸
抖音文案
动漫配图
伤感标签
首页
说说
动漫
口述
句子
图片
首页
>
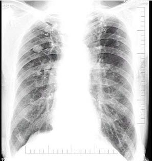
慢阻肺胸片
慢阻肺胸片,慢阻肺图片
肺气肿的影像诊断
第四讲-慢阻肺急性加重期的管理ppt
患者男性,16岁,突感呼吸困难,大汗淋漓,胸片检查见图,最合理的诊断是
接受肺减容弹簧圈治疗后患者的胸片该研究是一项随机临床试验,受试者
呼吸内科学医学高级气道疾病章节练习20170201
更多推荐
慢阻肺图片
慢阻肺ct图片
肺大泡胸片
肺气肿胸片
慢阻肺ct
慢阻肺ct影像图片
慢阻肺饮食
慢阻肺胸片图片
慢阻肺肺康复
慢阻肺x线
胸片肺气肿
肺结核胸片
慢阻肺桶状胸
肺癌胸片
慢阻肺
慢阻肺的肺真实图片
慢阻肺患者
肺炎胸片
慢阻肺桶状胸图片
气胸胸片
慢阻肺宣传
正常胸片和异常胸片
慢阻肺药物
慢阻肺用药
慢阻肺卡通
慢阻肺吸氧
慢阻肺动图
慢阻肺ppt
慢阻肺的症状
慢阻肺怎么治疗
说说分类
伤感说说
空间说说
心情说说
爱情说说
女生伤感
人生感悟
心情不好
说说带图片
生活的说说
心情短语
qq空间说说
个性说说
励志名言
经典语录
感悟人生
伤感句子
短句吧
情感故事
图片分类
伤感图片
伤感带字
非主流伤感
唯美伤感
女生伤感
唯美意境
悲伤的图片
意境伤感
只有字伤感
说说图片
伤心的图片
美甲图片
图片大全