x
伤感标签
伤感图片
伤感说说
伤感的句子说说心情
伤感图片
空间说说
心情说说
伤感图片带字
非主流伤感图片
爱情说说
女生伤感说说
人生感悟
唯美伤感图片
女生伤感图片
心情不好的说说
说说带图片
关于生活的说说
唯美意境图片
说说心情短语
悲伤的图片
唯美意境伤感图片
只有字的伤感图片
qq空间说说带图片
个性说说
说说图片
励志名言
伤心的图片
情感口述
一句话经典语录
美甲图片
图片大全
感悟人生的经典句子
短句吧
情感故事
情感图片
微信头像男
动态壁纸
抖音文案
动漫配图
伤感标签
首页
说说
动漫
口述
句子
图片
首页
>
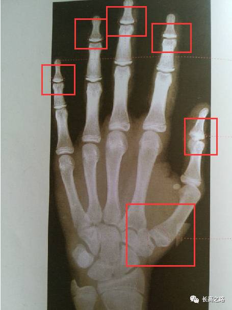
骨龄片怎么看
骨龄片怎么看,男孩骨龄图谱
帮忙看一下骨龄片几岁,孩子11周岁女孩,非常感谢
中国儿童标准骨龄片
教你简单识别孩子的骨龄片
72m正常吗?医生让测骨龄有点慌
收藏丨骨龄图谱方便随时对照
更多推荐
男孩骨龄图谱
手的骨龄片对照表
儿童骨龄片对照表
如何看懂骨龄片
骨龄片对照表 女孩
女孩骨龄图谱
骨龄闭合图
男孩各年龄段骨龄图
标准骨龄图谱
女12岁半骨龄片
骨龄片对照表 男孩
骨龄片
骨龄片对照表
骨龄片对照图
骨龄闭合的片子图片
骨龄图片
骨龄图片对照表
骨龄
骨龄对照表
骨龄图谱
骨龄对照表女
骨龄与身高
骨龄对照图
儿童骨龄对照表
骨龄标准对照图
骨龄预测身高图
儿童骨龄检查最佳年龄
女孩骨龄对照图
男孩骨龄对照图
千分尺怎么看
说说分类
伤感说说
空间说说
心情说说
爱情说说
女生伤感
人生感悟
心情不好
说说带图片
生活的说说
心情短语
qq空间说说
个性说说
励志名言
经典语录
感悟人生
伤感句子
短句吧
情感故事
图片分类
伤感图片
伤感带字
非主流伤感
唯美伤感
女生伤感
唯美意境
悲伤的图片
意境伤感
只有字伤感
说说图片
伤心的图片
美甲图片
图片大全