x
伤感标签
伤感图片
伤感说说
伤感的句子说说心情
伤感图片
空间说说
心情说说
伤感图片带字
非主流伤感图片
爱情说说
女生伤感说说
人生感悟
唯美伤感图片
女生伤感图片
心情不好的说说
说说带图片
关于生活的说说
唯美意境图片
说说心情短语
悲伤的图片
唯美意境伤感图片
只有字的伤感图片
qq空间说说带图片
个性说说
说说图片
励志名言
伤心的图片
情感口述
一句话经典语录
美甲图片
图片大全
感悟人生的经典句子
短句吧
情感故事
情感图片
微信头像男
动态壁纸
抖音文案
动漫配图
伤感标签
首页
说说
动漫
口述
句子
图片
首页
>
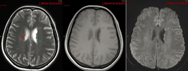
脑灰质异位
脑灰质异位,脑灰质异位图片
灰质异位
结果:灰质异位(gmh).
其实,人的"聪明"程度与大脑两种物质有很大关系,这两种物质为脑灰质
精品课件脑灰质异位症的影像诊断
医影学堂丨八个病例带你看懂脑灰质异位的三种类型
更多推荐
脑灰质异位图片
灰质异位
脑白质和脑灰质ct图片
脑灰质
脑灰质和脑白质
脑白质脑灰质解剖
脑白质灰质
大脑灰质白质
脑白质和脑灰质区别
脑灰质和脑白质ct
脑白质和脑灰质图片
脑灰质与脑白质影像图
脑灰质和脑白质解剖图
灰质白质
大脑灰质和白质解剖图
脊髓灰质
灰质和白质示意图
脑白质
脑白质解剖
异位胰腺
脊髓灰质结构
脊髓灰质侧角
脊髓灰质切片
脊髓灰质板层
异位胰腺图片
异位胰腺胃镜
皮脂腺异位
皮脂异位症
异位骨化
皮脂腺异位症
说说分类
伤感说说
空间说说
心情说说
爱情说说
女生伤感
人生感悟
心情不好
说说带图片
生活的说说
心情短语
qq空间说说
个性说说
励志名言
经典语录
感悟人生
伤感句子
短句吧
情感故事
图片分类
伤感图片
伤感带字
非主流伤感
唯美伤感
女生伤感
唯美意境
悲伤的图片
意境伤感
只有字伤感
说说图片
伤心的图片
美甲图片
图片大全