x
伤感标签
伤感图片
伤感说说
伤感的句子说说心情
伤感图片
空间说说
心情说说
伤感图片带字
非主流伤感图片
爱情说说
女生伤感说说
人生感悟
唯美伤感图片
女生伤感图片
心情不好的说说
说说带图片
关于生活的说说
唯美意境图片
说说心情短语
悲伤的图片
唯美意境伤感图片
只有字的伤感图片
qq空间说说带图片
个性说说
说说图片
励志名言
伤心的图片
情感口述
一句话经典语录
美甲图片
图片大全
感悟人生的经典句子
短句吧
情感故事
情感图片
微信头像男
动态壁纸
抖音文案
动漫配图
伤感标签
首页
说说
动漫
口述
句子
图片
首页
>
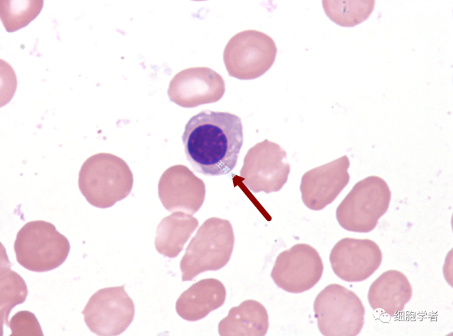
中幼红细胞
中幼红细胞,胆红素结晶
中幼红细胞
不一样的红细胞,了解一下?
红细胞系统形态特点
中幼红细胞
中幼红细胞
更多推荐
胆红素结晶
中幼红细胞 红蓝铅笔
网织红细胞 红蓝铅笔
中幼红细胞 手绘
炭核幼红细胞
原幼淋巴细胞
未成熟嗜酸性粒细胞
中幼红细胞红蓝手绘图
中幼红细胞形态
中幼红细胞图片
有核红细胞
原红细胞
成熟淋巴细胞
早幼粒细胞
异型淋巴细胞
晚幼红细胞手绘图
中幼红细胞手绘图
原始红细胞图片
组织嗜碱细胞
嗜碱性分叶核粒细胞
早幼粒细胞图片
网织红细胞
晚幼红细胞
破骨细胞
中性粒细胞
原始粒细胞
中性中幼粒细胞图片
幼稚巨核细胞
骨髓瘤细胞
戈谢细胞
说说分类
伤感说说
空间说说
心情说说
爱情说说
女生伤感
人生感悟
心情不好
说说带图片
生活的说说
心情短语
qq空间说说
个性说说
励志名言
经典语录
感悟人生
伤感句子
短句吧
情感故事
图片分类
伤感图片
伤感带字
非主流伤感
唯美伤感
女生伤感
唯美意境
悲伤的图片
意境伤感
只有字伤感
说说图片
伤心的图片
美甲图片
图片大全