x
伤感标签
伤感图片
伤感说说
伤感的句子说说心情
伤感图片
空间说说
心情说说
伤感图片带字
非主流伤感图片
爱情说说
女生伤感说说
人生感悟
唯美伤感图片
女生伤感图片
心情不好的说说
说说带图片
关于生活的说说
唯美意境图片
说说心情短语
悲伤的图片
唯美意境伤感图片
只有字的伤感图片
qq空间说说带图片
个性说说
说说图片
励志名言
伤心的图片
情感口述
一句话经典语录
美甲图片
图片大全
感悟人生的经典句子
短句吧
情感故事
情感图片
微信头像男
动态壁纸
抖音文案
动漫配图
伤感标签
首页
说说
动漫
口述
句子
图片
首页
>
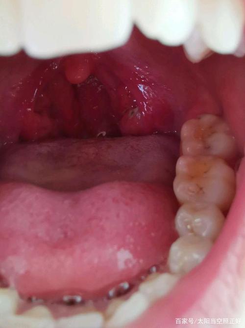
扁桃体窝白色东西图片
扁桃体窝白色东西图片,扁桃体白斑图片
扁桃体是一堆扁卵圆形的淋巴器官,它藏匿于扁桃体窝内,腭咽弓和
小儿扁桃体上有「脓」,就是化脓性扁桃体炎吗?
嗓子,扁桃体白点_扁桃体_上火_手电筒_草莓_手机_医疗
扁桃体结石(图3很吓人)_口臭_棉签_医疗健康_医疗健康
扁桃体术前倒计时第三天
更多推荐
扁桃体白斑图片
扁桃体癌症状与图片
扁桃体白色分泌物图片
扁桃体窝
咽喉白斑图片高清
扁桃体角化症图片
扁桃体结石怎么形成的
扁桃体腺窝残渣图片
扁桃体隐窝溃疡图片
扁桃体上白色隐窝图片
扁桃体上白色脓包图片
咽后壁白斑图片高清
扁桃体结石怎么治疗
扁桃体癌早期症状20种
扁桃体白色块状图片
扁桃体溃疡和化脓图片
扁桃体结石 实拍
扁桃体白色脓点图片
扁桃体结石怎么掏
扁桃体上的白点是什么
悬雍垂上有白色泡图片
扁桃体发白的图片
扁桃体上白色脓包
扁桃体结石怎么弄出来
慢性咽炎白斑图片
扁桃体上白色米粒图
扁桃体隐窝发白
扁桃体窝白色东西
扁桃体隐窝白点图片
扁桃体窝图片
说说分类
伤感说说
空间说说
心情说说
爱情说说
女生伤感
人生感悟
心情不好
说说带图片
生活的说说
心情短语
qq空间说说
个性说说
励志名言
经典语录
感悟人生
伤感句子
短句吧
情感故事
图片分类
伤感图片
伤感带字
非主流伤感
唯美伤感
女生伤感
唯美意境
悲伤的图片
意境伤感
只有字伤感
说说图片
伤心的图片
美甲图片
图片大全