x
伤感标签
伤感图片
伤感说说
伤感的句子说说心情
伤感图片
空间说说
心情说说
伤感图片带字
非主流伤感图片
爱情说说
女生伤感说说
人生感悟
唯美伤感图片
女生伤感图片
心情不好的说说
说说带图片
关于生活的说说
唯美意境图片
说说心情短语
悲伤的图片
唯美意境伤感图片
只有字的伤感图片
qq空间说说带图片
个性说说
说说图片
励志名言
伤心的图片
情感口述
一句话经典语录
美甲图片
图片大全
感悟人生的经典句子
短句吧
情感故事
情感图片
微信头像男
动态壁纸
抖音文案
动漫配图
伤感标签
首页
说说
动漫
口述
句子
图片
首页
>
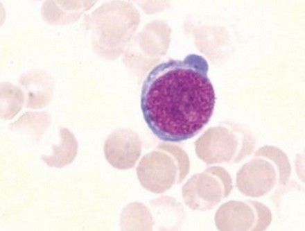
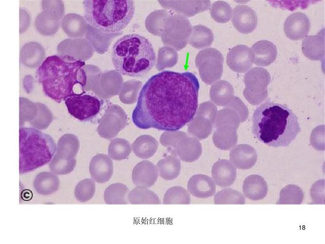
原始红细胞
原始红细胞,戈谢细胞
(1)原始红细胞:胞体直径15~20μm,圆形或椭圆形,边缘常有钝角状或瘤
原始红细胞
原始红细胞 18
医学教育网 临床医学检验职称 血液检验 > 正文 红系包括原始红细胞
原始红细胞 11
更多推荐
戈谢细胞
血细胞发育演变规律图
火焰细胞
原始浆细胞
原始细胞图片
淋巴细胞图片 显微镜
红细胞系统形态图
原始红细胞核仁图片
原淋巴细胞
红细胞各个阶段图片
骨髓细胞
骨髓小粒
异形淋巴细胞
晚幼红细胞
异常红细胞
成熟红细胞
原始红细胞手绘
原始红细胞 红蓝铅笔
早幼红细胞手绘图
原红细胞核仁
涂抹细胞
单核细胞图片
嗜碱性点彩红细胞
白细胞管型
复粒细胞
大淋巴细胞
成熟红细胞图片
畸形血小板
成熟淋巴细胞
产血小板型巨核细胞
说说分类
伤感说说
空间说说
心情说说
爱情说说
女生伤感
人生感悟
心情不好
说说带图片
生活的说说
心情短语
qq空间说说
个性说说
励志名言
经典语录
感悟人生
伤感句子
短句吧
情感故事
图片分类
伤感图片
伤感带字
非主流伤感
唯美伤感
女生伤感
唯美意境
悲伤的图片
意境伤感
只有字伤感
说说图片
伤心的图片
美甲图片
图片大全