x
伤感标签
伤感图片
伤感说说
伤感的句子说说心情
伤感图片
空间说说
心情说说
伤感图片带字
非主流伤感图片
爱情说说
女生伤感说说
人生感悟
唯美伤感图片
女生伤感图片
心情不好的说说
说说带图片
关于生活的说说
唯美意境图片
说说心情短语
悲伤的图片
唯美意境伤感图片
只有字的伤感图片
qq空间说说带图片
个性说说
说说图片
励志名言
伤心的图片
情感口述
一句话经典语录
美甲图片
图片大全
感悟人生的经典句子
短句吧
情感故事
情感图片
微信头像男
动态壁纸
抖音文案
动漫配图
伤感标签
首页
说说
动漫
口述
句子
图片
首页
>
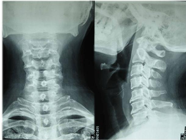
颈椎正侧位
颈椎正侧位,颈椎正侧位报告模板
术前颈椎正侧位片,见颈椎蜕变,局部骨质增生.
颈椎正侧位片
颈椎正侧位x光片
脊柱骨骼解剖 正常颈部彩色图谱 正常颈椎的侧位和斜位片 正常颈椎的
1. 颈椎的生理曲度 正常人的侧位片可见颈椎生理性 前凸.
更多推荐
颈椎正侧位报告模板
颈椎斜位
颈椎斜位片
膝关节正侧位
颈椎正侧位DR
腰椎正侧位片图解
颈椎侧位正常图片
颈椎正侧位图片
颈椎正侧位片
颈椎侧位
腰椎正侧位
颈椎双斜位
颈椎张口位
颈椎双斜位摆位图解
颈椎正侧位片图解
正常颈椎正侧位
颈椎正位
颈椎侧位片
颈椎侧位片正常
颈椎侧位DR
颈椎侧弯
颈椎侧凸
颈椎侧块
正常颈椎
颈椎侧位片怎么看
颈椎侧位片正常的图片
颈椎部位图
颈椎侧弯图片
足正侧位
颈椎侧块示意图
说说分类
伤感说说
空间说说
心情说说
爱情说说
女生伤感
人生感悟
心情不好
说说带图片
生活的说说
心情短语
qq空间说说
个性说说
励志名言
经典语录
感悟人生
伤感句子
短句吧
情感故事
图片分类
伤感图片
伤感带字
非主流伤感
唯美伤感
女生伤感
唯美意境
悲伤的图片
意境伤感
只有字伤感
说说图片
伤心的图片
美甲图片
图片大全