x
伤感标签
伤感图片
伤感说说
伤感的句子说说心情
伤感图片
空间说说
心情说说
伤感图片带字
非主流伤感图片
爱情说说
女生伤感说说
人生感悟
唯美伤感图片
女生伤感图片
心情不好的说说
说说带图片
关于生活的说说
唯美意境图片
说说心情短语
悲伤的图片
唯美意境伤感图片
只有字的伤感图片
qq空间说说带图片
个性说说
说说图片
励志名言
伤心的图片
情感口述
一句话经典语录
美甲图片
图片大全
感悟人生的经典句子
短句吧
情感故事
情感图片
微信头像男
动态壁纸
抖音文案
动漫配图
伤感标签
首页
说说
动漫
口述
句子
图片
首页
>
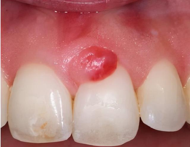
牙龈发炎
牙龈发炎,牙肉发炎肿痛的图片
大牙牙龈处肿了两个脓包,刚开始以为是普通的牙齿牙龈上火发炎肿痛,吃
牙龈发炎肿痛,该怎么办?口腔医生和你聊聊
牙龈发炎?这四个原因或是"罪魁祸首",这几个妙招助你保护口腔
人口腔中除了幽门螺杆菌,还存在导致牙龈肿痛,出血的 牙龈卟啉单胞菌
牙龈挤掉脓包后还反复长要这样处理才行
更多推荐
牙肉发炎肿痛的图片
智齿牙龈发炎
牙龈发炎上火
根尖周炎的治疗方法
牙龈白色溃烂
牙龈发炎的原因
牙龈肿痛怎么办
牙龈发炎化脓图片
牙癌初期照片晚期
牙龈发炎图片
牙龈炎和牙周炎的图片
牙龈发炎 根部
牙龈发黑怎么回事
牙龈发炎图片 脓包
牙龈发炎有脓包怎么办
牙龈发炎脓肿
牙龈疼
牙龈发炎 红肿
牙龈发炎卡通图片
牙龈肿胀隆起
牙龈肿痛有脓包怎么办
上火牙龈炎症状图片
牙龈息肉是什么样子
小孩牙龈长脓包怎么办
牙龈口腔溃疡
牙床上长白色溃疡图片
牙龈炎症状图片
牙周炎图片症状图片
牙齿松动
牙龈溃烂图片
说说分类
伤感说说
空间说说
心情说说
爱情说说
女生伤感
人生感悟
心情不好
说说带图片
生活的说说
心情短语
qq空间说说
个性说说
励志名言
经典语录
感悟人生
伤感句子
短句吧
情感故事
图片分类
伤感图片
伤感带字
非主流伤感
唯美伤感
女生伤感
唯美意境
悲伤的图片
意境伤感
只有字伤感
说说图片
伤心的图片
美甲图片
图片大全