x
伤感标签
伤感图片
伤感说说
伤感的句子说说心情
伤感图片
空间说说
心情说说
伤感图片带字
非主流伤感图片
爱情说说
女生伤感说说
人生感悟
唯美伤感图片
女生伤感图片
心情不好的说说
说说带图片
关于生活的说说
唯美意境图片
说说心情短语
悲伤的图片
唯美意境伤感图片
只有字的伤感图片
qq空间说说带图片
个性说说
说说图片
励志名言
伤心的图片
情感口述
一句话经典语录
美甲图片
图片大全
感悟人生的经典句子
短句吧
情感故事
情感图片
微信头像男
动态壁纸
抖音文案
动漫配图
伤感标签
首页
说说
动漫
口述
句子
图片
首页
>
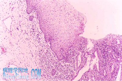
慢性宫颈炎切片
慢性宫颈炎切片,慢性宫颈炎图片
慢性宫颈炎生物切片人体病理切片显微镜配套生物切片
慢性子宫颈炎病理切片
请问先做的病理活检结论是慢性宫颈炎,有不典型增生,后又换的一家医院
慢性子宫颈炎
阴道镜示慢性宫颈炎的活检标本,镜检如图所示,该部位的鳞状上皮出现
更多推荐
慢性宫颈炎图片
慢性宫颈炎
慢性宫颈炎真实
宫颈糜烂和宫颈炎图片
慢性宫颈炎白带
慢性宫颈炎图片女
慢性宫颈炎严重吗
慢性宫颈炎图片真实
宫颈炎发炎照片
慢性宫颈炎的症状
慢性宫颈炎图片白带
慢性宫颈炎的症状图片
慢性宫颈炎怎么治疗
急性宫颈炎
慢性宫颈炎分泌物图片
宫颈炎症状图片
严重宫颈炎图片
宫颈炎图片
宫颈炎程度图片
宫颈炎糜烂
宫颈炎早期
宫颈炎怎么治疗
宫颈炎
宫颈炎白带图片
宫颈炎症状
宫颈炎真实
宫颈炎的真实图片
宫颈炎有哪些症状
宫颈炎有哪些症状图片
宫颈炎白带
说说分类
伤感说说
空间说说
心情说说
爱情说说
女生伤感
人生感悟
心情不好
说说带图片
生活的说说
心情短语
qq空间说说
个性说说
励志名言
经典语录
感悟人生
伤感句子
短句吧
情感故事
图片分类
伤感图片
伤感带字
非主流伤感
唯美伤感
女生伤感
唯美意境
悲伤的图片
意境伤感
只有字伤感
说说图片
伤心的图片
美甲图片
图片大全