x
伤感标签
伤感图片
伤感说说
伤感的句子说说心情
伤感图片
空间说说
心情说说
伤感图片带字
非主流伤感图片
爱情说说
女生伤感说说
人生感悟
唯美伤感图片
女生伤感图片
心情不好的说说
说说带图片
关于生活的说说
唯美意境图片
说说心情短语
悲伤的图片
唯美意境伤感图片
只有字的伤感图片
qq空间说说带图片
个性说说
说说图片
励志名言
伤心的图片
情感口述
一句话经典语录
美甲图片
图片大全
感悟人生的经典句子
短句吧
情感故事
情感图片
微信头像男
动态壁纸
抖音文案
动漫配图
伤感标签
首页
说说
动漫
口述
句子
图片
首页
>
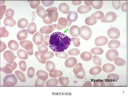
嗜碱性粒细胞镜下
嗜碱性粒细胞镜下,嗜碱性粒细胞工作细胞
嗜碱性粒细胞
中性粒细胞,嗜酸性,嗜碱性,淋巴细胞_医学生_医疗健康
55成熟嗜碱性粒细胞
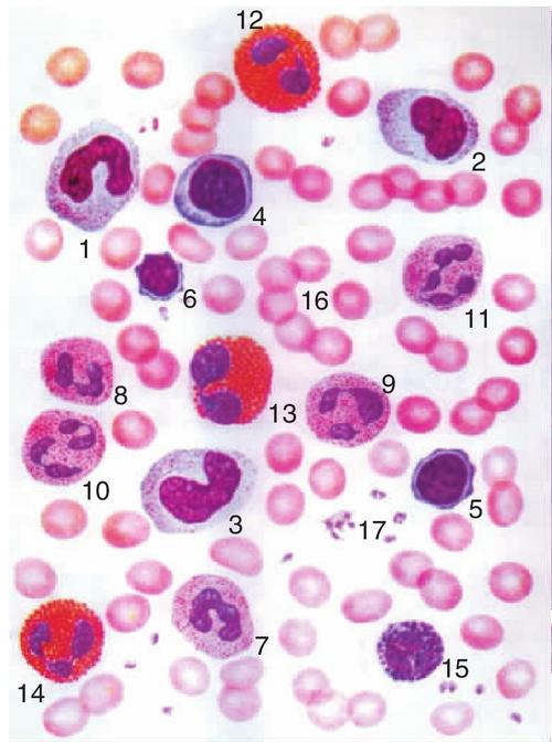
7,8,9,10,11 中性粒细胞,12,13,14 嗜酸性粒细胞,15 嗜碱性粒细胞,16
嗜酸嗜碱性粒细胞
更多推荐
嗜碱性粒细胞工作细胞
嗜碱性粒细胞镜下图片
嗜碱性粒细胞光镜图
嗜碱性粒细胞
嗜碱性粒细胞偏高
嗜碱性粒细胞图片
嗜碱性细胞
嗜酸性粒细胞光镜图
嗜中性粒细胞
嗜碱性点彩红细胞
嗜酸性粒细胞
中性粒细胞镜下图片
嗜碱性粒细胞手绘图
嗜酸性粒细胞偏低
中性粒细胞光镜图
嗜酸性粒细胞图片
中性粒细胞
中性分叶核粒细胞
中性杆状核粒细胞
中性晚幼粒细胞
淋巴细胞镜下图片
单核细胞镜下图片
嗜酸性粒细胞手绘图
粒细胞
复粒细胞
中性中幼粒细胞
中性粒细胞图片
尿复粒细胞
淋巴细胞光镜图
单核细胞光镜图
说说分类
伤感说说
空间说说
心情说说
爱情说说
女生伤感
人生感悟
心情不好
说说带图片
生活的说说
心情短语
qq空间说说
个性说说
励志名言
经典语录
感悟人生
伤感句子
短句吧
情感故事
图片分类
伤感图片
伤感带字
非主流伤感
唯美伤感
女生伤感
唯美意境
悲伤的图片
意境伤感
只有字伤感
说说图片
伤心的图片
美甲图片
图片大全