x
伤感标签
伤感图片
伤感说说
伤感的句子说说心情
伤感图片
空间说说
心情说说
伤感图片带字
非主流伤感图片
爱情说说
女生伤感说说
人生感悟
唯美伤感图片
女生伤感图片
心情不好的说说
说说带图片
关于生活的说说
唯美意境图片
说说心情短语
悲伤的图片
唯美意境伤感图片
只有字的伤感图片
qq空间说说带图片
个性说说
说说图片
励志名言
伤心的图片
情感口述
一句话经典语录
美甲图片
图片大全
感悟人生的经典句子
短句吧
情感故事
情感图片
微信头像男
动态壁纸
抖音文案
动漫配图
伤感标签
首页
说说
动漫
口述
句子
图片
首页
>
核磁共振检查单图片
核磁共振检查单图片,脑部核磁共振报告单图
胡生被父亲打完后,去做磁共振的病例单
在日常就诊中,容易混淆的还有核磁共振和b超这两项检查
磁共振检查结果显示患者胆囊中几乎塞满了结石
【科普】胎儿磁共振检查,你了解多少?
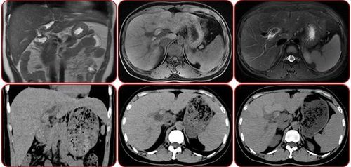
上腹部ct及磁共振检查
更多推荐
脑部核磁共振报告单图
核磁共振检查报告单
核磁共振报告单和图片
核磁共振报告单
核磁共振报告有图片吗
核磁共振检查图片
核磁共振图片
核磁共振真实图片
核磁共振检查
核磁共振检查多少钱
核磁共振脑部正常图片
核磁共振检查动画
核磁共振检查多长时间
核磁共振图解
核磁共振片子
核磁共振正常报告单
人类合体核磁共振图
核磁共振结果
核磁共振内部
核磁共振
核磁共振高清
核磁共振头颅
核磁共振室
核磁共振多少钱
头部核磁共振
核磁共振吓人
核磁共振和ct的区别
核磁共振报告
核磁共振女人
核磁共振机器
说说分类
伤感说说
空间说说
心情说说
爱情说说
女生伤感
人生感悟
心情不好
说说带图片
生活的说说
心情短语
qq空间说说
个性说说
励志名言
经典语录
感悟人生
伤感句子
短句吧
情感故事
图片分类
伤感图片
伤感带字
非主流伤感
唯美伤感
女生伤感
唯美意境
悲伤的图片
意境伤感
只有字伤感
说说图片
伤心的图片
美甲图片
图片大全